Assalamualaikum dan salam sejahtera,
Sekiranya parasit ni, kak yong 'pass' kepada baby dalam kandungan kak yong, baby tu mungkin akan mengalami masalah brain and nervous system. Boleh ke sini untuk bacaan lanjut mengenai kesannya.
Minggu lepas kak yong berkongsi cerita mengenai GBS dan bahayanya pada wanita yang mengandung. Entry kali ini kak yong nak berkongsi mengenai Toxoplasmosis pula. Apa yang akan kak yong kongsikan ini adalah berdasarkan pengalaman kak yong mengandung dan melahirkan Ayumi di Jepun.
Mengandung anak pertama di bumi asing sangat-sangat mencabar buat kak yong. Kekurangan ilmu tentang penjagaan diri semasa mengandung dan keadaan kak yong yang sangat sibuk dengan study bukanlah sesuatu perkara yang mudah. Namun begitu kehadiran suami di sisi memang sangat kak yong hargai. Dialah orang yang menemani kak yong pergi dan balik dari kilinik untuk check up. Sehingga satu hari semasa menjalani rutin check up doktor mengesahkan kak yong dijangkiti Toxoplasmosis.
Kak yong dan suami memang tak ada idea langsung tentang jangkitan yang doktor cakapkan ini. Doktor cuba terangkan pada kami tapi agak susah sebab masalah komunikasi. Kak yong dah sah-sah zen zen wakaranai (memang tak tahu langsung). Suami kak yong boleh faham sikit-sikit tapi bila datang medical term timbullah masalah. Doktor yang baik hati tu terpaksa selongkar buku dan fail dia dan akhirnya jumpa satu artikel dalam bahasa Inggeris tentang Toxoplasmosis.
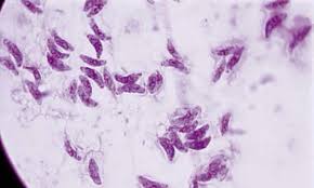
Secara mudah, doktor terangkan yang Toxoplasmosis ni disebabkan oleh parasit Toxoplasma Gondii (T. Gondii).
Kebiasaannya parasit ini dijumpai pada najis kucing yang telah dijangkiti.
Apabila parasit ini masuk ke dalam alam sekitar dan rantaian makanan, manusia boleh dijangkiti melalui makanan. Antara caranya:
T. Gondii
Kebiasaannya parasit ini dijumpai pada najis kucing yang telah dijangkiti.

Apabila parasit ini masuk ke dalam alam sekitar dan rantaian makanan, manusia boleh dijangkiti melalui makanan. Antara caranya:
- Memakan makanan, air dari tanah yang telah dijangkiti
- Memakan daging yang tidak cukup masak yang telah dijangkiti
- Menggunakan pisau atau alatan dapur yang dah bersentuhan dengan daging mentah yang telah dijangkiti
Sekiranya parasit ni, kak yong 'pass' kepada baby dalam kandungan kak yong, baby tu mungkin akan mengalami masalah brain and nervous system. Boleh ke sini untuk bacaan lanjut mengenai kesannya.
Tak ada kata yang dapat kak yong gambarkan perasaan kak yong pada masa tu. Kak yong sangat risau tentang baby dalam kandungan kak yong pada masa tu. Doktor mengambil keputusan untuk buat test amniocentesis untuk mengetahui samada baby dalam kandungan dijangkiti ataupun tidak. Ujian ini adalah untuk mengetahui samada baby dalam kandungan itu normal atau ada masalah kesihatan yang serius. Namun keputusan hanya akan diketahui 2 minggu kemudiannya.
Dalam masa 2 minggu tu, kak yong dan suami tak putus-putus berdoa agar baby kami normal, sihat dan tidak terkena jangkitan ini. Sejak dari itu, suami kak yong tak bagi kak yong makan benda mentah dan daging lagi. Sushi pun dia bagi kak yong makan sushi tuna dan telur je, punyalah sayang dia pada kami..Hehehe.....
Selepas 2 minggu, dengan perasaan berdebar-debar, kak yong dan suami ke klinik untuk menjalani pemeriksaan biasa. Apabila tiba masa berjumpa doktor, jantung kak yong ni rasa macam nak tercabut je sebab berdebar dengan keputusan yang akan doktor sampaikan...Alhamdulillah, Allah mendengar rintihan kami suami isteri. Kandungan kak yong normal dan tidak dijangkiti.
Di Malaysia, ujian darah untuk Toxoplasmosis ini bukanlah sesuatu yang menjadi kebiasaan tetapi kita ada pilihan untuk buat ujian ini di klinik swasta dan hospital pakar. Sesiapa yang terkena jangkitan ini pada awal kandungan, ia boleh menyebabkan keguguran manakala sekiranya ia berlaku di hujung masa kandungan, kebarangkalian untuk ibu pass kepada anak dalam kandungan itu tinggi.
Untuk wanita mengandung mungkin antibiotik boleh diberi bagi mengelakkan anak dalam kandungan dijangkiti namun nasihat doktor diperlukan. Untuk orang biasa, tidak ada rawatan yang khas bagi yang dijangkiti parasit ini. Hanya orang yang rendah antibodi badan perlukan rawatan.
Antibodi badan perlu aktif bagi mencegah pelbagai jenis penyakit. Itu antara sebab kak yong dan keluarga suka makan Nutriferon, Sustained Release Vitamin C dan Zinc Complex untuk meningkatkan sistem imun badan. Garlic pula sebagai natural antibiotik.
Klik SINI untuk terus membuat belian secara online.
Sekiranya tidak, anda boleh hubungi kak yong sendiri untuk mendapat khidmat nasihat tentang produk.
YANAIZAT | 019-7771227
SID: 972522
COD: J.Bahru, Pasir Gudang, Skudai, Pontian, Setia Indah, Bukit Indah, Singapura serta kawasan sekitar.
POS: Dalam Malaysia dan luar Malaysia
Comments
Post a Comment